Top stories






Marketing & MediaScore energy drink calls on Mzansi to #GoGetIt with The Get Up To Your Go! campaign
Hoola Agency 2 days
More news

































HR & Management
#MandelaMonth: Building futures, not just filling roles


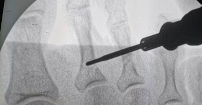
Mayet has undergone highly specialised, accredited training in Spain and he and his team have already completed a number of minimally invasive surgeries. These have included ligament repairs; correction of foot deformities including bunions; bone fusions, as well as endoscope-assisted surgery to correct various pathologies of the feet and ankles. He says among the most noteworthy of these procedures was the successful correction of bunions and lesser toe deformities.
While many foot and ankle problems can be treated using keyhole procedures, it is not appropriate for all patients, he says. A thorough assessment by an orthopaedic specialist is required to determine what the most appropriate approach to each patient’s particular condition will be.
He explains that the development of minimally invasive foot and ankle surgery has been spurred on by the development of two important technologies, namely the burr, which is an instrument used to shape bones, and the endoscope, a tiny camera that enables surgeons to see inside the joints and is used to guide certain minimally invasive procedures.
“In 2002, a group of French surgeons formed GRECMIP (Minimally Invasive Surgery of the Foot Research and Study Group)— an organisation dedicated to the study and development of minimally invasive surgical approaches for conditions of the foot and ankle — and they have been among the most important drivers behind this type of treatment intervention internationally,” says Mayet.
“GRECMIP have developed training courses for surgeons, most of whom were initially from Europe. In recent years, however, GRECMIP have also started providing training to surgeons from across the globe and these techniques have increasingly been adopted and gained in popularity in both Europe and the United States.
“I was fortunate enough to have had the opportunity to complete the basic and advanced GRECMIP courses in minimally invasive surgery of the foot, and obtain a formal qualification in this, and am tremendously excited to have brought this knowledge and expertise to patients in South Africa.”
“With the advent of robotic-assisted surgery and other technologies, minimally invasive surgery has become an increasingly important tool for today’s surgeons across a number of disciplines of medicine. Now, with the techniques and technologies becoming so refined in the area of foot and ankle surgery, it is likely that this is going to become the gold standard of treatment for selected patients in future,” says Mayet.