
Top stories






More news























ESG & Sustainability
Why children must shape Africa’s digital future












In what Germany described as the largest outbreak in Europe ever, cases have been reported in at least eight European country – Belgium, France, Germany, Italy, Portugal, Spain, Sweden and the United Kingdom - as well as the United States, Canada and Australia.
First identified in monkeys, the disease typically spreads through close contact and has rarely spread outside Africa, so this series of cases has triggered concern. However, scientists do not expect the outbreak to evolve into a pandemic like Covid-19, given the virus does not spread as easily as SARS-COV-2.
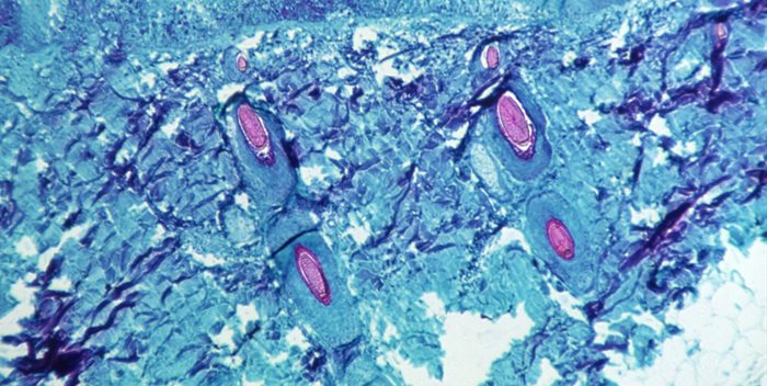
Monkeypox is usually a mild viral illness, characterised by symptoms of fever as well as a distinctive bumpy rash.
"With several confirmed cases in the United Kingdom, Spain and Portugal, this is the largest and most widespread outbreak of monkeypox ever seen in Europe," said Germany's armed forces' medical service, which detected its first case in the country on Friday.
The World Health Organization committee due to meet is the Strategic and Technical Advisory Group on Infectious Hazards with Pandemic and Epidemic Potential (STAG-IH), which advises on infection risks that could pose a threat to global health. It would not be responsible for deciding whether the outbreak should be declared a public health emergency of international concern, WHO's highest form of alert, which is currently applied to the Covid-19 pandemic.
Fabian Leendertz, from the Robert Koch Institute, described the outbreak as an epidemic.
"However, it is very unlikely that this epidemic will last long. The cases can be well isolated by means of contact tracing and there are also drugs and effective vaccines that can be used if necessary," he said.
Still, the WHO's European chief said he was concerned that infections could accelerate in the region as people gather for parties and festivals over the summer months. There isn't a specific vaccine for monkeypox, but data shows that the vaccines used to eradicate smallpox are up to 85% effective against monkeypox, according to the WHO.
British authorities said on Thursday they had offered a smallpox vaccine to some healthcare workers and others who may have been exposed to monkeypox
Since 1970, monkeypox cases have been reported in 11 African countries. Nigeria has had a large outbreak since 2017 - so far this year there have been 46 suspected cases, of which 15 have since been confirmed, according to the WHO.
The first European case was confirmed on May 7 in an individual who returned to England from Nigeria. Since then, more than 100 cases have been confirmed outside Africa, according to a tracker by a University of Oxford academic.
Many of the cases are not linked to travel to the continent. As a result, the cause of this outbreak is unclear, although health authorities have said that there is potentially some degree of community spread.
The WHO said the early cases were unusual for three reasons: all but one have no relevant travel history to areas where monkeypox is endemic; most are being detected through sexual-health services and among men who have sex with men, and the wide geographic spread across Europe and beyond suggests that transmission may have been going on for some time.
In Britain, where 20 cases have been now confirmed, the UK Health Security Agency said the recent cases in the country were predominantly among men who self-identified as gay, bisexual or men who have sex with men.
The 14 cases in Portugal were all detected in sexual-health clinics and were men aged between 20 and 40 years old who self-identified as gay, bisexual or men who have sex with men.
Health authorities in Spain said 23 new cases were confirmed on Friday, mainly in the Madrid region where most infections were linked to an outbreak in an adult sauna. It was too early to say if the illness has morphed into a sexually transmitted disease, said Alessio D'Amato, health commissioner of the Lazio region in Italy. Three cases have been reported so far in the country.
Sexual contact, by definition, is close contact, added Stuart Neil, professor of virology at Kings College London. "The idea that there's some sort of sexual transmission in this, I think, is a little bit of a stretch," he said.
Scientists are sequencing the virus from different cases to see if they are linked, the WHO has said. The agency is expected to provide an update soon.

Reuters, the news and media division of Thomson Reuters, is the world's largest multimedia news provider, reaching billions of people worldwide every day.
Go to: https://www.reuters.com/