
Top stories


Energy & MiningPatrice Motsepe announces Harmony Gold's "huge investment"
Colleen Goko and Nqobile Dludla 23 minutes




More news














Marketing & Media
Creative Futures Africa Summit: From unseen to unstoppable











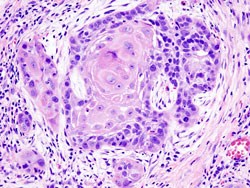
In the United States, oral cancer due to HPV infection is now more common than oral cancer from tobacco use, which remains the leading cause of such cancers in the rest of the world.
Researchers have found a 225% increase in oral cancer cases in the United States from 1974 to 2007, mainly among white men, said Maura Gillison of Ohio State University. The full article.